Computer-assisted design (CAD) and computer-aided manufacturing (CAM) are two of the best innovations in the manufacturing industry. CAD allows users to create detailed and scaled 3D models with the help of software, which can be manufactured with precise accuracy using CAM.
Originally, CAD/CAM was used to improve the efficiency and accuracy of manufacturing in the automotive industry in the early 1960s. Dentists began using this technology in 1985 for dental restorations and prosthetics. CAD/CAM dentistry allowed dental professionals to create tailored and accurate dental prosthetics more efficiently, resulting in the widespread adoption of this technology. In this blog, we will cover What is CAD/CAM Dentistry, how it works, what makes it different and more.
A] What Is CAD/CAM Dentistry?
CAD/CAM dentistry uses the latest design and manufacturing technologies to make dental procedures simpler, accurate, and efficient. The CAD/CAM technology allows for a simpler restoration process. Dentists can create various dental prosthetics from a single block of ceramic or any other dental restorative material.
The use of technology has also reduced the time for procedures, making dental visits convenient for patients. The use of CAD/CAM has eliminated time-consuming and labour-intensive processes like taking physical impressions of your mouth and manual moulding, benefiting both, the dentists and patients. This technology can be used for a wide range of treatments, including dental implants, dental crowns, veneers, dentures, inlay and bridges.
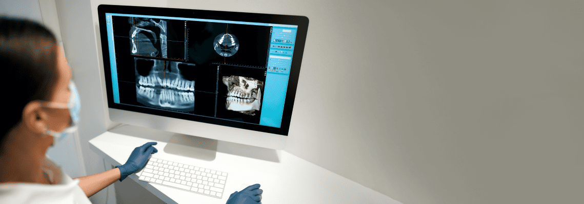
B] How Does CAD/CAM Technology Work In Dentistry?
Dental CAD/CAM uses the latest medical software and hardware to simplify dental procedures and make them more comfortable for the patient. Dentists use high-tech cameras to scan your mouth and teeth to create accurate 3D models of the patient’s teeth.
This eliminates the need for physical impressions, which take more time and are often uncomfortable for the patient. This 3D design of your mouth is then transferred to a 3D printer, which reads the data and creates identical prosthetics with the dental restoration material. The restoration process using CAD/CAM follows:
- Preparation: The dentist prepares the procedure site by either shaping the teeth or removing the decaying teeth.
- Scanning and designing: A high-tech digital camera is used to scan the patient’s mouth and teeth. CAD software will be used to create a detailed 3D model of the patient’s mouth and the restoration prosthetic.
- Milling: A milling machine uses the images to create dental implants using any dental material, such as ceramic or porcelain. After the implant is ready, it is hardened using fire.
- Restoration: The dentist then permanently implants the prosthetic in your mouth. They might also provide anaesthesia, depending on the procedure.
The dental procedures take somewhere between forty-five minutes to two hours. Traditional methods usually require the patients to pay multiple visits to the dentist’s office for diagnosis and treatment planning, taking impressions, and finally for restoration.
C] How Does CAD/CAM Dentistry Differ From Traditional Dental Restoration?
CAD/CAM dentistry takes advantage of advanced computer software and hardware, such as CAD software, high-tech cameras, and 3D printers. Due to the extensive assistance of technology in the treatment process, it is also known as digital dentistry.
As opposed to this, traditional dentistry is a labour-intensive and time-consuming process. Traditionally, the dentist has to manually take an impression of the restoration site, and then send it to a lab, where the impression is made into a cast. A technician then uses the cast to create the dental implants, which they send back to the dentist for the procedure. As you can notice, CAD/CAM dentistry has made orthodontic treatment very simple and efficient for the dentist as well as the patient.
Book Your Dental Appointment Today.
Our Dedicated Team at Oris Dental is Ready to Provide You with Excellent Care!
D] Advantages Of CAD/CAM In Dentistry
- Reduced chair time: With CAD/CAM dentistry, dentists can complete procedures within two hours, which would generally take patients multiple visits to the dentist.
- Accuracy: The computer software and cameras provide a high degree of accuracy, not offered by traditional methods.
- Cost-effectiveness: The technology allows dentists to eliminate the cost of outsourcing. These reduce the cost for the dentist and the patient.
- Comfortable: The highly accurate design and manufacturing process makes it possible to customise the prosthetics according to the patient’s anatomy. This makes the restoration more comfortable for the patient.
- Durability: The prosthetics created using the CAD/CAM system are of higher quality, as compared to traditional dentistry. This helps the restorations to last longer without any damage.
E] Is CAD/CAM Dental Work Right For You?
A wide variety of dental procedures can be done effectively and efficiently with the help of CAD/CAM dentistry. CAD/CAM dental work is mostly used for restoration and cosmetic dentistry, such as veneers, crowns, and bridges.
However, CAD/CAM dentistry might not be the option for every type of procedure. While, CAD/CAM can offer easier, more accurate, and faster results, some dentists might prefer traditional methods. It is crucial to discuss with your dentist in Sunshine Coast to get treatment recommendations tailored to your needs.
Conclusion
CAD/CAM dentistry uses the latest dentistry technologies for designing and manufacturing dental prosthetics. The use of technology has improved the quality and comfort of dental procedures while reducing the time and price.
CAM/CAD dentistry, which is sometimes referred to as digital dentistry offers numerous benefits to dentists as well as patients when compared to traditional methods. If you are looking for CAD/CAM dentistry in the Sunshine Coast for comfortable and efficient dental care, contact us today!
FAQs
How much does dental CAD/CAM cost?
The cost of the treatment can vary depending on the type of procedure. CAD/CAM dentistry it is just more convenient and faster way to do things, with little to no difference in price from standard procedures.
Is the CAD/CAM system better than traditional restorative dentistry?
CAD/CAM offers a more accurate, tailored and comfortable treatment for dental procedures, such as crowns, veneers, and dentures. Dentists using CAD/CAM technology can complete procedures within a couple of hours, while traditional methods can take multiple visits to the dentist.
What are the cons of CAD/CAM dentistry?
Due to the initial high cost of CAD/CAM equipment, many dentists do not offer this method of dental treatment; as a result, they are not as widely available. The quality of the treatment may also depend on the dentist’s proficiency with the technology.
Schedule Your Dental Examination Today.
Prevent Oral Health Issues with Regular Dental Examinations!
Dr. Adarsh Pisharodi
Dr. Adarsh Pisharodi, serving as the principal dentist at Oris Dental, brings a wealth of expertise spanning over 26 years to his esteemed practice. Specializing in cosmetic dentistry, dental implants, and orthodontics, he takes immense pride in rejuvenating countless smiles and instilling confidence in Sunshine Coast residents. As an esteemed member of the Australian Dental Association and esteemed dental societies, he remains steadfast in delivering exceptional care to his patients.








