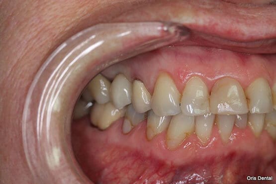
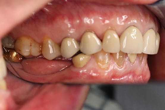
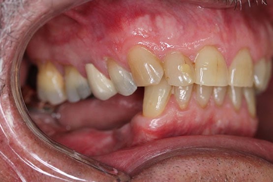
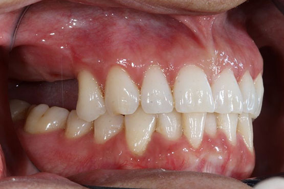
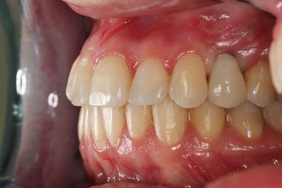
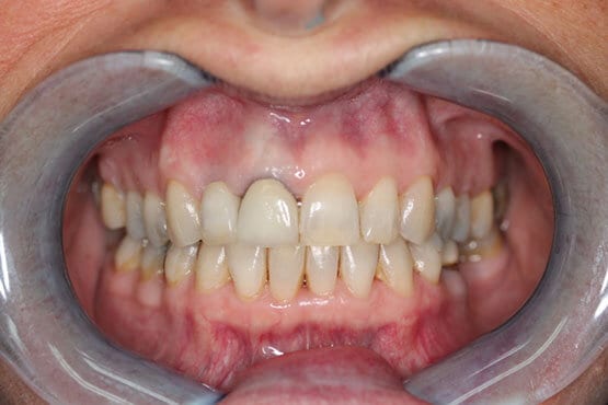
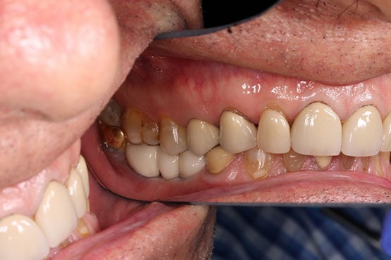
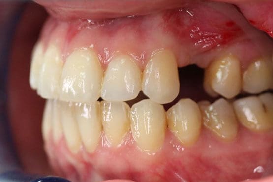
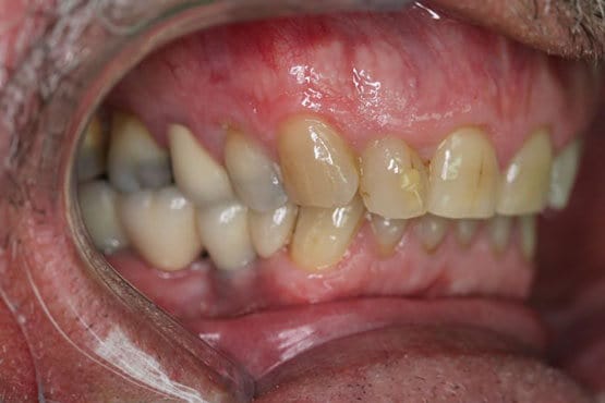
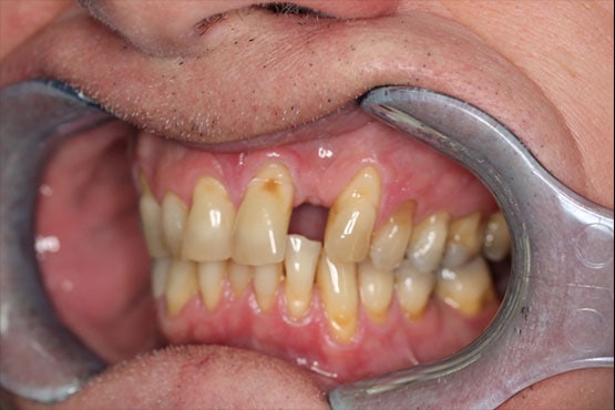
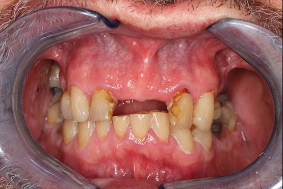
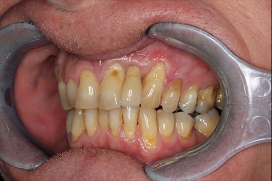
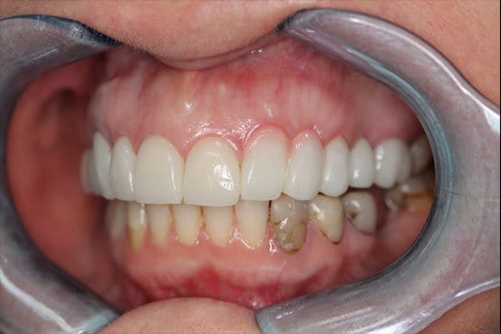
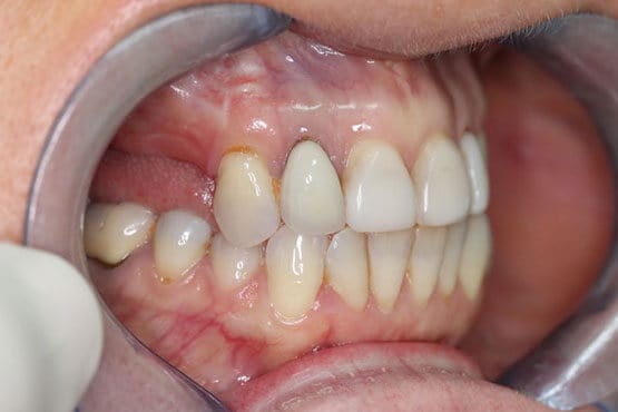
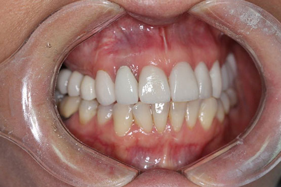
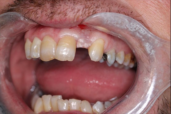
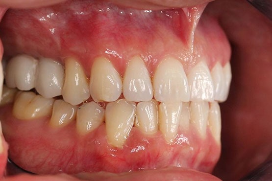
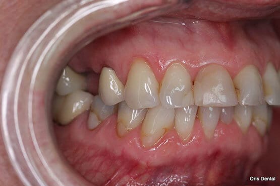
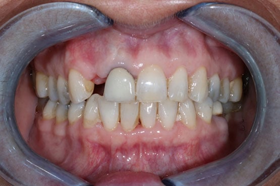
Dental Implants Before and After Images
Got questions about dental implants and their life-changing benefits?
Our dedicated staff is here to support you.
Dr Adarsh (A-Dash) is the principal dentist at Oris Dental. Dr Adarsh graduated as a dentist in 1996 from the University of Mumbai (Bombay, India). He entered the world of Oral Care as an associate dentist in one of the leading practices in Mumbai from 1996–2002.
The practice sculpted the skills and mastery under the watchful mentoring and groomed Dr Adarsh to be a well-rounded Dentist with special interest in Orthodontics.
This prompted Adarsh to pursue a master’s degree in Orthodontics from University of Mumbai (Bombay, India) in 2005 and practised as an Orthodontic Specialist for several years.
He also served as teaching faculty at University in Mumbai for 3 yrs and when in India, he has been ‘the dentist’ to many dentists!!
Dr Adarsh moved to Australia in 2009. He successfully completed the ADC exams in the first attempt and moved to Australia early 2009. He practised in private practice in Mackay briefly before conceptualising and setting up Oris Dental in Minyama (Sunshine Coast) in 2011 and since then it has been providing care to the Local Sunshine Coast Community.
At Oris Dental, patients are in excellent hands with Dr Adarsh, an experienced dental practitioner with a special interest in Smile transformations and Cosmetic Dentistry.
Dr Adarsh brings over multiple decades of international dental experience:
Dr Adarsh offers a calm, caring approach grounded in years of hands-on experience.
He also has a growing interest in clear aligner therapy.
Dr Adarsh is fluent in English, Hindi, and Gujarati.
“Prevention is better than cure.”
Twilight Dental Sedation – Oris Dental
Dr. Prachi Pisharodi is a highly experienced Expert Sedation Dentist with a passion for helping patients feel calm, comfortable, and confident in the dental chair. Practicing under Twilight Dental Sedation at Oris Dental, she offers expert sedation
services tailored to individuals who experience dental fear, anxiety, or require complex treatment.

Dr. Prachi completed her Bachelor of Dental Surgery at Nair Hospital Dental College
(Mumbai) in 2002 and gained her Australian Dental Council certification in 2011.
In 2023, Dr. Pisharodi became an AHPRA-endorsed Dental Sedation Practitioner through
the University of Sydney, further expanding her ability to provide safe and effective
sedation care in a private practice setting.
With over two decades of clinical experience, Dr. Prachi’s favourite part of her work
is transforming anxious patients’ experiences of dental care. She takes pride in
creating a calm, supportive environment where individuals can access the treatment
they need—often after years of avoiding it due to fear or trauma.
Dr. Prachi speaks English, Hindi, and Gujarati, and is known for her warm, approachable
nature. Outside of dentistry, she enjoys reading, practicing yoga, walking with her dog
Daisy, and exploring new places to eat.
Fun fact: She’s been skydiving and once completed a full yoga retreat—
bringing a sense of calm and courage to everything she does.
Davina has been a part of our family since 2014. After completing her bachelor’s degree from the University of Queensland, Davina worked in private practice in and around the Sunshine Coast for a year before joining us full time.
Davina shows exemplary skills in building strong relationships and rapport with her patients and is well regarded by her peers. She is highly valued by her current patients and currently works three days a week.

Our dental hygienist Lise Slack is a trained member of the dental team who works together with your dentist in preventing gum diseases and dental decay.
Lise joined OrisDental in 2015 and has worked extensively in private specialist practices. She graduated from the University of Stellenbosch in South Africa in 1982 and has had specific training and exposure to an extensive range of periodontal conditions and treatment modalities.
Lise’s dad was a professor in dentistry and this is where her love of teeth comes from. She has invented two specialist oral care products which are available in Australia and several international countries. Lise has also lectured at international dental conferences on the maintenance of dental implants and how to help patients care for their teeth once they have contracted periodontitis.
Both adults and children can benefit from having an appointment with a dental hygienist as they are taught how dental diseases occur and how it can be prevented or managed.
Lise is married to Sam and they have two daughters. They value their family time and love adventurous outdoor sports.
Jess has been a part of Oris Dental from the outset in 2011. Always cheerful and welcoming, Jess is a favourite among our patients. If you can’t find her in the practice, she’ll most likely be at the beach!

Kaela arrived at our practice in early 2021. Coming from eight years of retail experience in Northern NSW, she loves working with people and assisting in any way she can. Kaela has also just finished her training as a dental assistant. You will immediately fall in love with her happy, bubbly personality.

Abby is originally from Hervey Bay, but she has been calling the Sunshine Coast home with her husband and two kids for the past four and a half years. Abby completed her cert III in dental assisting in 2015 and is looking to further her studies In the near future. Abby enjoys camping, playing guitar, and travelling
the world with her family.

Param Dass graduated with a Bachelor in Dentistry from the University of Otago, NZ in 2005. He went on to complete his Bachelor in Medicine from the University of Auckland NZ in 2010.
Param started working part time in our practice since 2015 with special interest in surgical procedures including Dental implants and bone grafting procedures, Surgical extractions including Wisdom teeth and other minor surgical procedures.
Param is well known for being gentle and caring in treating patients with dental anxiety and maintains a calm demeanour.
He is also well trained in working with patients with various levels of anxiety, offering dental treatment under Happy Gas, Twilight sedation or under Full general anaesthetic.

Brayden hails from North Queensland, having completed his Bachelor of Dental Surgery at JCU Cairns, practicing in Hobart and outreach dentistry from Mount Isa over the course of his studies. He has worked with us since 2020. Brayden enjoys becoming a part of a community and enjoys the outdoors and sport in his spare
time. Having only recently moved to the beautiful Sunshine Coast, Brayden is enthusiastic and well versed in all aspects of basic general dentistry and looks forward to bringing North Queensland hospitality to the South East.

Briar stated off as a trainee dental assistant in our practice mid-2020. She is the youngest member of our practice and is rapidly becoming an integral part of team Oris. Briar completed her Certificate 3 in our practice in 2021 and works full time Dental assistant at Oris Dental.
Drew attended Central Queensland University and graduated in 2021, specialising in Paediatrics and Oral Pathology diagnosis, achieving distinctions in Oral Health Therapy. He thoroughly enjoys his practising career at Oris Dental under the guidance and mentorship of Dr. Adarsh.
He focuses on children’s crowns and paediatric procedures while providing exceptional oral care to both existing and new patients.
Drew regularly visits Early Learning Centres and Schools in the local catchment area,
promoting oral health and wellbeing. He is a strong advocate of
preventative measures.
Drew’s effervescent and energetic approach, along with his multilingual skills,
leaves a lasting impression on his patients.
Outside of work, Drew enjoys baking croissants, café hopping, and listening to his
favourite music. He has an extensive vinyl collection and is a force to reckon with
when it comes to testing your movie knowledge.

Jasmine joined our practice in November 2021 and works with our Oral Health Therapist Drew. Jasmine is new to dental assistance, however is quickly taking on any and all challenges that come her way! She loves animals, and spending quality time with her husband and two kids. Welcome to the team!

Brooke is originally from Brisbane but has been living on the coast since 2017. She brings over 15 years of experience in the dental industry and has had the opportunity to work in London and Melbourne for the Royal Flying Doctors. Brooke enjoys surfing, scuba diving and exploring the many things that the Sunny Coast has to offer.
From the land of Samba to the Sunshine Coast
Dr. Aline is an experienced dentist with over a decade of experience in global settings. She completed her Bachelor of Dental Surgery at UNITAU in Brazil in 2014 and began her practising career in Brazil, undertaking advanced courses in Molar Endodontics to deepen her expertise in complex root canal treatments.
While she remains confident in managing endodontic cases, she is currently focusing on aesthetic dentistry, where she delivers outstanding patient satisfaction by helping patients achieve both functional and visually pleasing outcomes.
Dr. Aline has been actively involved in community oral care through Queensland Health
and previously with the Brazilian Public Health System. She is committed to resolving
patients’ dental concerns, building confidence through smiles, and supporting overall
health and wellbeing.
Dr. Aline speaks English and Portuguese and has a calm, approachable demeanour that puts
patients at ease.
Outside of dentistry, Dr. Aline leads a busy life with her love for travel and her role
as a devoted mum to her one-year-old daughter. She cherishes watching her grow and,
when time allows, enjoys relaxing with Netflix.